Det märks att sommaren och semestrarna börjar närma sig, många skyndar sig och stressar in i det sista för att kunna koppla av ordentligt och vila upp sig inför kommande arbetsår. Men än är inte semestern här…

För egen del blev det en sen semester i år och jag få kämpa på fram till augusti innan jag kan lägga fötterna på på bordet och öppna en flaska rosé. Men det ska bli härligt och är något jag ser fram emot sen, fast innan dess så händer det ju lite andra saker. Barnen ska ha sina skolavslutningar och Lindas äldsta dotter tar dessutom studenten, så nu börjar det bli dags att förbereda alla firanden och hoppas på bra väder när dagen är kommen!

Nu väntar ju kanske en ledig långhelg för många av er, så passa på att njuta och gör något roligt! Jag har barnen hos mig och vi ska följa med Linda på en hundutställning imorgon, den verkar vara utomhus på fälten vid Gubbängen. GW ska tävla igen och det blir kul att se om den senaste tidens träning som Linda lagt ner kommer att ge resultat, så vi håller tummarna för att allt ska gå bra. Däremot ser inte vädret ut att bli så bra som man kan önska, sist jag tittade nu så var det väldigt hög risk för regn större delar av dagen. Men med lite tur så är det kanske uppehåll just då, annars blir det väldigt blöta och troligen leriga hundar skulle jag gissa. Haha, fast det blir säkert en rolig upplevelse det oavsett väder och med lite tur så har de kanske stora tält eller något liknande. Men jag vet inte, vi får se när vi kommer dit helt enkelt. Heja GW!

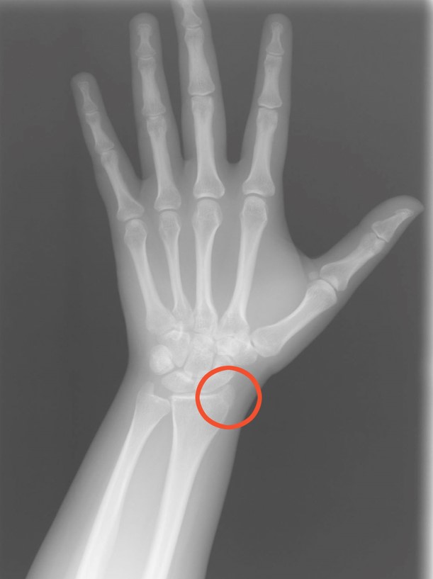
Nova har numera ett paket gips på sin arm, lindat i röd fin bandage. Allt började med att hon lekte i lekparken, men när hon hade klättrat upp och ställt sig på en parkbänk så tappade hon balansen och föll ner. Det gjorde självklart ont och hon blev ledsen, jag kollade så att hon kunde röra armen och om hon hade känseln kvar. Det verkade inte så farligt till en början, men efter att några klasskamrater råkade springa in i hennes onda hand några dagar senare så fick hon ännu ondare, så då åkte vi in till sjukhuset för att kolla upp så inget var brutet. Efter många timmars väntan så fick Nova tillslut röntga handleden där hon hade mest ont, och där kunde man se en början på en liten spricka i ett av benen.

Sprickan kommer att läka fint av sig själv, men för att skydda handleden lite extra så fick hon en liten gipsskena som skulle se till att handen inte böjer sig i onaturligt mycket och förvärrar sprickan. Nova tyckte det var superskoj, även om hon bara ska ha gipset någon vecka eller så. Efter en vecka ska vi tillbaka och röntga handleden igen och se om de kan ta bort gipset, men Nova tycker ju det är så coolt med gipsad arm så vi får se vad läkaren säger då. Hon behöver egentligen inte ha det så det var ingen fara inför skolavslutningen som väntar, tills dess skulle de definitivt ta bort det berättade läkaren vi träffade. To be continued…

I helgen är det dags för Elitloppet på Solvalla! Jag har aldrig brytt mig om detta tidigare och kan inget om hästar, förutom det Brigitta lärt mig om hästen Golden Hornline och hur man ska tänka när man tippar på V75 och alla andra V. Haha! Men vi ska dit på söndag och titta, förhoppningsvis blir det kalasväder och en ny rolig upplevelse. Tänk om jag blir som Birgitta efteråt, och liksom blir helt frälst på hästar och alla sorters trav. Det återstår att se dock, men jag ser gärna att vi åker hem några små miljoner rikare. Det borde väl inte behöva vara så svårt?

På söndag är det ju även morsdag, så det krockar ju lite med mina planer på att bli mångmiljonär. Men min kära mor har lovat att hjälpa mig och ta hand om barnen medan jag besöker Solvalla så jag kommer självklart åka och fira henne lite senare på kvällen. Och om jag vinner stort på travet i helgen så kan jag ju köpa en extra fin morsdagpresent, hon är ju trots allt världens bästa mamma!

Det händer saker på jobbet också! Jag har blivit erbjuden en ny tjänst som jag tackat ja till, det kommer att bli otroligt spännande och roligt att fortsätta utvecklas inom företaget. Så jag är väldigt motiverad och peppad för framtiden, och det kommer bli en intressant höst med lite nya utmaningar att se fram emot. Mer info kommer senare, kanske… Haha! Någonstans i Spanien sitter Henke just nu med ett hårt grepp om sin mobiltelefon och svettas av nyfikenhet medan han firar sin 40-års dag. Grattis Henke!
Jag tycker vi stannar där för denna gången, med Henke lyckligt ovetande om vad som händer här hos oss på jobbet nu medan han är på semester och försöker lära sig att surfa. Men jag vill önska honom och alla er andra en riktigt härlig långhelg nu om ni är lediga, ha d biff!

DAGENS JERKER går till… Min diskmaskin! Ja men den jäkeln har ju sagt upp sig kan man säga och vill inte fungera ordentligt längre, en dyr och ovälkommen utgift såhär när det nalkas semester. Tyvärr familjen, vi får ställa in alla semesterplaner och istället rikta in oss på kortare utflykter till Farsta C där vi kan köpa mjukglass och kanske en tur till skogen i Tyresta Nationalpark som är gratis istället…
